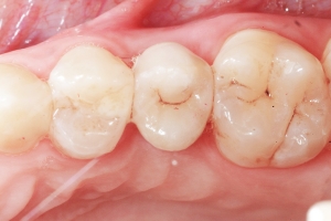
Bari: L’implantologia orale è quella branca dell’odontoiatria che si occupa di sostituire i denti andati persi per qualsivoglia patologia con viti (fixture) in titanio al fine di sostenere denti singoli, gruppi di denti o fungere da supporto per una protesi completa. In questo modo è possibile riprodurre sia l’aspetto che le funzioni svolte dai denti naturali.
Il materiale utilizzato per la fabbricazione di questi impianti è il titanio, materiale altamente bio-compatibile in grado di integrarsi perfettamente con l’organismo. Le tecniche implantologiche hanno una elevata predicibilità pertanto con una corretta e costante igiene orale, da parte del paziente, gli impianti potrebbero avere una vita pressoché illimitata.
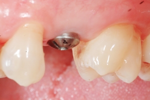
L’intervento consiste nell’inserimento nell’osso edentulo di viti che, una volta integrate, vanno a rimpiazzare le radici dei denti mancanti supportando un dente artificiale idoneo a svolgere la sua funzione. La procedura è rapida ed indolore e si svolge ambulatorialmente in anestesia locale. Terminato l’intervento, il paziente, può riprendere le sue normali attività quotidiane.






-  IMPLANTOLOGIA POST- ESTRATTIVACon implantologia post-estrattiva si intende la possibilità, in casi selezionati, di inserire un impianto immediatamente dopo l’avulsione di un elemento dentale. La procedura post estrattiva, oltre a ridurre i tempi complessivi del trattamento, consente di modificare favorevolmente il processo di guarigione con una minore contrazione dei tessuti ossei intorno alle viti implantari. 
-  IMPLANTOLOGIA A CARICO IMMEDIATOCon l’implantologia a carico immediato, si intende la possibilità di protesizzare un impianto immediatamente, attraverso l’utilizzo di un provvisorio. Tra i vantaggi maggiormente apprezzati dal paziente c’è senz’altro quello di avere fin da subito, una dentatura completa e funzionale. 
-  IMPLANTOLOGIA COMPUTER-ASSISTITAL’implantologia computer-assistita è una tecnica che permette, grazie a innovativi software, di costruire un modello virtuale e simulare al computer l’intervento di implantoprotesi. Questa metodica rende il posizionamento degli impianti più rapido e sicuro, diminuendo, al contempo, i disagi post-operatori. L’inserimento dell’impianto avviene, infatti, con una tecnica trans-mucosa che non prevede l’incisione e lo scollamento della gengiva, ma solo l’apertura di un piccolo foro attraverso il quale posizionare la fixture in titanio. 
 
  
 